El curioso efecto de las advertencias antitabaco


Revisado y aprobado por el psicólogo Sergio De Dios González
Desde hace un tiempo y en casi todo el mundo, se han venido haciendo gigantescas campañas para motivar a los fumadores para que abandonen el hábito. Una de las estrategias a las que se ha recurrido es la de imprimir advertencias antitabaco en los empaques de los cigarrillos.
Tales advertencias antitabaco han pasado básicamente por dos etapas. Al comienzo, simplemente se inscribía una nota del tipo: “Fumar es nocivo para la salud” o “El cigarrillo produce cáncer”, etc. Luego, se evidenció que esas afirmaciones eran pasadas por alto por la mayoría de los fumadores.
Comprobado esto, se determinó que las imágenes podrían ser mucho más persuasivas para los fumadores. De ahí en más, las advertencias antitabaco se han acompañado de fotografías con fuertes imágenes que muestran el estado de diferentes órganos con cáncer.
Indudablemente son imágenes que inspiran temor. Esa era precisamente la propuesta: inspirar miedo. Sin embargo, no lo han conseguido, ¿por qué?
“Al cumplir los setenta años me he impuesto la siguiente regla de vida: No fumar mientras duermo, no dejar de fumar mientras estoy despierto, y no fumar más de un solo tabaco a la vez”.
-Mark Twain-

Las advertencias antitabaco y el terror
Aunque el miedo es una fuerza muy poderosa, motivando infinidad de acciones en el ser humano, lo cierto es que en el caso de los fumadores no ha tenido el efecto deseado. En un estudio llevado a cabo en Colombia se evidenció que los más indiferentes frente a ese tipo de mensajes son precisamente quienes más fuman: hombres de 21 a 25 años.
De todos modos, en el mismo estudio se señala que las cruentas imágenes de pulmones en descomposición o lenguas casi destruidas son pasadas por alto por el 60 % de los consumidores de cigarrillos. Lo que hacen casi todo ellos es simplemente no mirar las fotografías o no detenerse en ellas.
El punto es que prácticamente todos los fumadores saben que el tabaco afecta su salud y mantener la buena salud orgánica no está dentro de sus prioridades.
Fumar es mucho más que un mal hábito: se trata de una adicción y además está relacionada con dificultades para manejar la ansiedad. Así que una amenaza futura, a través de las advertencias antitabaco, no logra que dejen de fumar.
El efecto paradójico
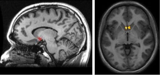
En un estudio de neuromarketing con resonancia magnética funcional, adelantado por Martin Lindstrom y la doctora Gemma Calvert, en 2007, se evidenció que, cuando los fumadores observan las imágenes con advertencias antitabaco, se estimula una zona del cerebro llamada núcleo accumbens. Esta área se activa cuando el cuerpo desea algo muy intensamente.
Esto, en otras palabras, quiere decir que las advertencias antitabaco tienen un efecto paradójico: estimulan el deseo de fumar, en lugar de reducirlo. A quienes participaron en el estudio se les preguntó si las advertencias les parecían creíbles y la mayoría dijo que sí. También se les preguntó si los mensajes les motivaban a dejar de fumar y también la mayoría respondió que sí.
Pese a esto, lo que ocurría en sus cerebros, monitoreados mediante resonancia magnética, decía otra cosa. Después de analizar los datos cuidadosamente, los investigadores llegaron a la conclusión de que las imágenes de las advertencias generaban una importante dosis de ansiedad en los fumadores. Esto, a su vez, les hacía desear un cigarrillo.

Los mensajes que sí funcionan
Todo indica que, si muchas personas fuman, es precisamente porque no encuentran otra manera de gestionar su ansiedad, entonces no es buena idea generar más ansiedad para persuadirles de dejar el cigarrillo. Lo cierto es que dentro del mismo estudio se observó que algunos mensajes adicionales sí incrementaban el interés de muchos por dejar de fumar.
Las advertencias antitabaco asociadas con el daño que se le puede causar a terceros ejercen una mayor influencia en el deseo de dejar de fumar. Cuando se hacía hincapié en los efectos del humo de segunda mano sobre los demás o sobre el medio ambiente, el efecto de ansiedad también se presenta, pero acompañado de una serie de reflexiones en torno a la importancia de dejar de fumar.
De cualquier modo, este tipo de campañas nos muestran que infantilizar a las personas no es una buena idea. Emplear ese esquema de culpa-castigo no es eficaz en comportamientos complejos, como lo es una adicción. Si se pasan por alto los mecanismos internos que llevan a una persona a hacerse daño “conscientemente”, de poco o nada sirven las advertencias aterradoras.
Desde hace un tiempo y en casi todo el mundo, se han venido haciendo gigantescas campañas para motivar a los fumadores para que abandonen el hábito. Una de las estrategias a las que se ha recurrido es la de imprimir advertencias antitabaco en los empaques de los cigarrillos.
Tales advertencias antitabaco han pasado básicamente por dos etapas. Al comienzo, simplemente se inscribía una nota del tipo: “Fumar es nocivo para la salud” o “El cigarrillo produce cáncer”, etc. Luego, se evidenció que esas afirmaciones eran pasadas por alto por la mayoría de los fumadores.
Comprobado esto, se determinó que las imágenes podrían ser mucho más persuasivas para los fumadores. De ahí en más, las advertencias antitabaco se han acompañado de fotografías con fuertes imágenes que muestran el estado de diferentes órganos con cáncer.
Indudablemente son imágenes que inspiran temor. Esa era precisamente la propuesta: inspirar miedo. Sin embargo, no lo han conseguido, ¿por qué?
“Al cumplir los setenta años me he impuesto la siguiente regla de vida: No fumar mientras duermo, no dejar de fumar mientras estoy despierto, y no fumar más de un solo tabaco a la vez”.
-Mark Twain-

Las advertencias antitabaco y el terror
Aunque el miedo es una fuerza muy poderosa, motivando infinidad de acciones en el ser humano, lo cierto es que en el caso de los fumadores no ha tenido el efecto deseado. En un estudio llevado a cabo en Colombia se evidenció que los más indiferentes frente a ese tipo de mensajes son precisamente quienes más fuman: hombres de 21 a 25 años.
De todos modos, en el mismo estudio se señala que las cruentas imágenes de pulmones en descomposición o lenguas casi destruidas son pasadas por alto por el 60 % de los consumidores de cigarrillos. Lo que hacen casi todo ellos es simplemente no mirar las fotografías o no detenerse en ellas.
El punto es que prácticamente todos los fumadores saben que el tabaco afecta su salud y mantener la buena salud orgánica no está dentro de sus prioridades.
Fumar es mucho más que un mal hábito: se trata de una adicción y además está relacionada con dificultades para manejar la ansiedad. Así que una amenaza futura, a través de las advertencias antitabaco, no logra que dejen de fumar.
El efecto paradójico
En un estudio de neuromarketing con resonancia magnética funcional, adelantado por Martin Lindstrom y la doctora Gemma Calvert, en 2007, se evidenció que, cuando los fumadores observan las imágenes con advertencias antitabaco, se estimula una zona del cerebro llamada núcleo accumbens. Esta área se activa cuando el cuerpo desea algo muy intensamente.
Esto, en otras palabras, quiere decir que las advertencias antitabaco tienen un efecto paradójico: estimulan el deseo de fumar, en lugar de reducirlo. A quienes participaron en el estudio se les preguntó si las advertencias les parecían creíbles y la mayoría dijo que sí. También se les preguntó si los mensajes les motivaban a dejar de fumar y también la mayoría respondió que sí.
Pese a esto, lo que ocurría en sus cerebros, monitoreados mediante resonancia magnética, decía otra cosa. Después de analizar los datos cuidadosamente, los investigadores llegaron a la conclusión de que las imágenes de las advertencias generaban una importante dosis de ansiedad en los fumadores. Esto, a su vez, les hacía desear un cigarrillo.

Los mensajes que sí funcionan
Todo indica que, si muchas personas fuman, es precisamente porque no encuentran otra manera de gestionar su ansiedad, entonces no es buena idea generar más ansiedad para persuadirles de dejar el cigarrillo. Lo cierto es que dentro del mismo estudio se observó que algunos mensajes adicionales sí incrementaban el interés de muchos por dejar de fumar.
Las advertencias antitabaco asociadas con el daño que se le puede causar a terceros ejercen una mayor influencia en el deseo de dejar de fumar. Cuando se hacía hincapié en los efectos del humo de segunda mano sobre los demás o sobre el medio ambiente, el efecto de ansiedad también se presenta, pero acompañado de una serie de reflexiones en torno a la importancia de dejar de fumar.
De cualquier modo, este tipo de campañas nos muestran que infantilizar a las personas no es una buena idea. Emplear ese esquema de culpa-castigo no es eficaz en comportamientos complejos, como lo es una adicción. Si se pasan por alto los mecanismos internos que llevan a una persona a hacerse daño “conscientemente”, de poco o nada sirven las advertencias aterradoras.
Todas las fuentes citadas fueron revisadas a profundidad por nuestro equipo, para asegurar su calidad, confiabilidad, vigencia y validez. La bibliografía de este artículo fue considerada confiable y de precisión académica o científica.
Crespo, A., Cabestrero, R., Barrio, A., & Hernández, O. (2008). Atención visual y advertencias sanitarias antitabaco: hacia una nueva era en la comunicación de riesgos para la salud. Infocop (38), 54-56.
Este texto se ofrece únicamente con propósitos informativos y no reemplaza la consulta con un profesional. Ante dudas, consulta a tu especialista.







