Microbioma cerebral: bacterias intestinales en el cerebro humano


Revisado y aprobado por la psicóloga Gema Sánchez Cuevas
Hasta ahora hemos tenido noticias muy interesantes sobre la relación de la microbiota intestinal y el cerebro, pero parece que la relación es bastante más íntima de lo que se sospechaba en un principio. En el último congreso de la Sociedad de Neurociencia, la Universidad de Alabama ha presentado un informe que muestra cómo algunas bacterias intestinales habitan en diferentes regiones del cerebro, lo que parece constituir un microbioma cerebral.
Este descubrimiento es tanto fascinante como intimidante. Se han hallado las bacterias, se saben que están ahí, pero todavía no se tiene explicación sobre cómo han llegado hasta el cerebro, ni si son beneficiosas o perjudiciales. Se intuye, incluso, que pueden influir en el estado de ánimo y quizás, en la personalidad. Profundicemos.
¿Qué es el microbioma intestinal?
El microbioma intestinal es el conjunto de microorganismos que viven en nuestros intestinos, aproximadamente unos cien billones de mil especies diferentes de bacterias, las cuales, a su vez, están formadas por más de tres millones de genes. De todos ellos, solo una tercera parte es común a todos los seres humanos, el resto son exclusivos de cada persona. Por lo que el microbioma intestinal es una parte importante de la identidad de cada uno de nosotros.
Entre sus funciones más importantes podemos destacar la regulación del sistema inmunitario, la absorción de nutrientes y el control de patógenos externos. Cualquier alteración en la microbiota intestinal puede ser el origen de enfermedades autoinmunes, alergias e infecciones. De hecho, se ha relacionado también con el Alzheimer y el Parkinson, de manera reciente.
Por otro lado, los desequilibrios en esta floral intestinal generan endotoxinas, elevados niveles de oxidación, y la acumulación de grasa abdominal. Además, la inflamación crónica produce problemas cardiovasculares y diabetes.
A pesar de que exista un miedo generalizado a los microbios y a las bacterias, lo cierto es que no podemos vivir sin ellos. No somos conscientes, pero tenemos billones de seres vivos conviviendo en el interior de nuestro cuerpo.

El microbioma cerebral
La presencia de bacterias en el cerebro ha generado tanto curiosidad como sorpresa en la comunidad científica. De hecho, una de las primeras cuestiones a resolver es cómo llegan estas al cerebro, ya que este se encuentra protegido por la barrera hematoencefálica.
La barrera hematoencefálica es un sistema de protección contra la entrada de sustancias extrañas y que permite el paso del agua, de moléculas solubles en lípidos y de algunos gases. También permite el paso selectivo de aminoácidos y otras moléculas. Pero las bacterias encontradas en el cerebro son, en su mayoría, de filogenia intestinal.
Son unas células gliales de apoyo a las neuronas, los astrocitos, los que impiden la entrada de neurotoxinas y otras sustancias al cerebro. Estas sustancias dañinas, cuando consiguen traspasar la barrera de alguna forma, suelen producir inflamaciones con consecuencias muy negativas e incluso mortales. Pero lo curioso es que los astrocitos parecen ser el lugar favorito de estas bacterias intestinales para vivir en el cerebro.
A pesar de que se han realizado varias propuestas sobre cómo han llegado estas bacterias hasta allí, como por ejemplo, a través de los nervios del intestino, la barrera hematoencefálica o la nariz, aun se desconoce la causa. Aún queda mucho por investigar sobre este posible microbioma cerebral.

La investigación
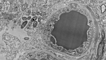
La Dra. Rosalinda Roberts junto a su equipo del Psychiatry and Behavioral Neurobiology de la Universidad de Alabama son los responsables de este hallazgo. Para ello, estudiaron el cerebro de 34 personas; la mitad eran sujetos sanos y la otra mita padecían esquizofrenia. Y además, se realizó un estudio paralelo con ratones, para descartar que las bacterias aparecieran solo postmortem o pudiese haber cualquier error por contaminación en el estudio.
Tanto en uno como en otro estudio, se observaron la presencia de bacterias en el cerebro humano y en el de los ratones, en situaciones no infecciosas o traumáticas.De hecho, se encontraron en varias zonas cerebrales. Principalmente en la sustancia negra, el hipocampo y la corteza prefrontal; y muy poca cantidad en el estriado. Además, ninguno de los cerebros examinados mostraba inflamación.
Estos resultados han dejado la puerta abierta a la especulación y a nuevas investigaciones sobre el microbioma cerebral. De momento, se baraja la posibilidad de que estos microbios estén relacionados con el comportamiento, el estado anímico y algunas enfermedades neurológicas. Aunque los resultados sobre personas sanas incitan a pensar que puedan ser beneficiosos también en el cerebro, al igual que lo son en el intestino. A día de hoy no se puede descartar ninguna posibilidad.
Imagen principal de Rosalía Roberts, Courtney Walker y Charlene Farmer
Hasta ahora hemos tenido noticias muy interesantes sobre la relación de la microbiota intestinal y el cerebro, pero parece que la relación es bastante más íntima de lo que se sospechaba en un principio. En el último congreso de la Sociedad de Neurociencia, la Universidad de Alabama ha presentado un informe que muestra cómo algunas bacterias intestinales habitan en diferentes regiones del cerebro, lo que parece constituir un microbioma cerebral.
Este descubrimiento es tanto fascinante como intimidante. Se han hallado las bacterias, se saben que están ahí, pero todavía no se tiene explicación sobre cómo han llegado hasta el cerebro, ni si son beneficiosas o perjudiciales. Se intuye, incluso, que pueden influir en el estado de ánimo y quizás, en la personalidad. Profundicemos.
¿Qué es el microbioma intestinal?
El microbioma intestinal es el conjunto de microorganismos que viven en nuestros intestinos, aproximadamente unos cien billones de mil especies diferentes de bacterias, las cuales, a su vez, están formadas por más de tres millones de genes. De todos ellos, solo una tercera parte es común a todos los seres humanos, el resto son exclusivos de cada persona. Por lo que el microbioma intestinal es una parte importante de la identidad de cada uno de nosotros.
Entre sus funciones más importantes podemos destacar la regulación del sistema inmunitario, la absorción de nutrientes y el control de patógenos externos. Cualquier alteración en la microbiota intestinal puede ser el origen de enfermedades autoinmunes, alergias e infecciones. De hecho, se ha relacionado también con el Alzheimer y el Parkinson, de manera reciente.
Por otro lado, los desequilibrios en esta floral intestinal generan endotoxinas, elevados niveles de oxidación, y la acumulación de grasa abdominal. Además, la inflamación crónica produce problemas cardiovasculares y diabetes.
A pesar de que exista un miedo generalizado a los microbios y a las bacterias, lo cierto es que no podemos vivir sin ellos. No somos conscientes, pero tenemos billones de seres vivos conviviendo en el interior de nuestro cuerpo.

El microbioma cerebral
La presencia de bacterias en el cerebro ha generado tanto curiosidad como sorpresa en la comunidad científica. De hecho, una de las primeras cuestiones a resolver es cómo llegan estas al cerebro, ya que este se encuentra protegido por la barrera hematoencefálica.
La barrera hematoencefálica es un sistema de protección contra la entrada de sustancias extrañas y que permite el paso del agua, de moléculas solubles en lípidos y de algunos gases. También permite el paso selectivo de aminoácidos y otras moléculas. Pero las bacterias encontradas en el cerebro son, en su mayoría, de filogenia intestinal.
Son unas células gliales de apoyo a las neuronas, los astrocitos, los que impiden la entrada de neurotoxinas y otras sustancias al cerebro. Estas sustancias dañinas, cuando consiguen traspasar la barrera de alguna forma, suelen producir inflamaciones con consecuencias muy negativas e incluso mortales. Pero lo curioso es que los astrocitos parecen ser el lugar favorito de estas bacterias intestinales para vivir en el cerebro.
A pesar de que se han realizado varias propuestas sobre cómo han llegado estas bacterias hasta allí, como por ejemplo, a través de los nervios del intestino, la barrera hematoencefálica o la nariz, aun se desconoce la causa. Aún queda mucho por investigar sobre este posible microbioma cerebral.

La investigación
La Dra. Rosalinda Roberts junto a su equipo del Psychiatry and Behavioral Neurobiology de la Universidad de Alabama son los responsables de este hallazgo. Para ello, estudiaron el cerebro de 34 personas; la mitad eran sujetos sanos y la otra mita padecían esquizofrenia. Y además, se realizó un estudio paralelo con ratones, para descartar que las bacterias aparecieran solo postmortem o pudiese haber cualquier error por contaminación en el estudio.
Tanto en uno como en otro estudio, se observaron la presencia de bacterias en el cerebro humano y en el de los ratones, en situaciones no infecciosas o traumáticas.De hecho, se encontraron en varias zonas cerebrales. Principalmente en la sustancia negra, el hipocampo y la corteza prefrontal; y muy poca cantidad en el estriado. Además, ninguno de los cerebros examinados mostraba inflamación.
Estos resultados han dejado la puerta abierta a la especulación y a nuevas investigaciones sobre el microbioma cerebral. De momento, se baraja la posibilidad de que estos microbios estén relacionados con el comportamiento, el estado anímico y algunas enfermedades neurológicas. Aunque los resultados sobre personas sanas incitan a pensar que puedan ser beneficiosos también en el cerebro, al igual que lo son en el intestino. A día de hoy no se puede descartar ninguna posibilidad.
Imagen principal de Rosalía Roberts, Courtney Walker y Charlene Farmer
Este texto se ofrece únicamente con propósitos informativos y no reemplaza la consulta con un profesional. Ante dudas, consulta a tu especialista.







