El claustro cerebral: ¿la puerta de la consciencia?


Escrito y verificado por la psicóloga Valeria Sabater
Cuando ponemos la mirada en el cielo nocturno, nos atrae todo ese universo inexplorado de estrellas lejanas, constelaciones y planetas. Son mundos inexplorados, territorios jamás pisados y no comprendidos aún. El claustro cerebral produce en los científicos la misma sensación. Esta área del cerebro era, hasta no hace mucho, uno de los mayores misterios de la neurociencia.
Hablar del claustro es referirnos a una región rodeada de misterio. Esta pequeña y fina área alojada debajo de la neocórtex era, hasta no hace mucho, un desafío y también una cuenta pendiente. Porque los investigadores son persistentes, porque los amantes de la neurociencia no quieren ni pueden dejar nada al azar.
El hecho de que existiera un rincón del cerebro inexplorado ha levantado durante décadas una elevada expectación y abundantes teorías. Ahora bien, cabe señalar que esta singular estructura es de muy difícil acceso, tanto que ha sido necesario que la tecnología avanzara lo suficiente como para permitirnos llegar a esa intrincado punto del cerebro.
Hace solo unos meses en que por fin ha sido posible sondear la función claustral a nivel molecular, fisiológico y conductual. Estos son los datos que se han obtenido hasta el momento.

Claustro cerebral: localización y características
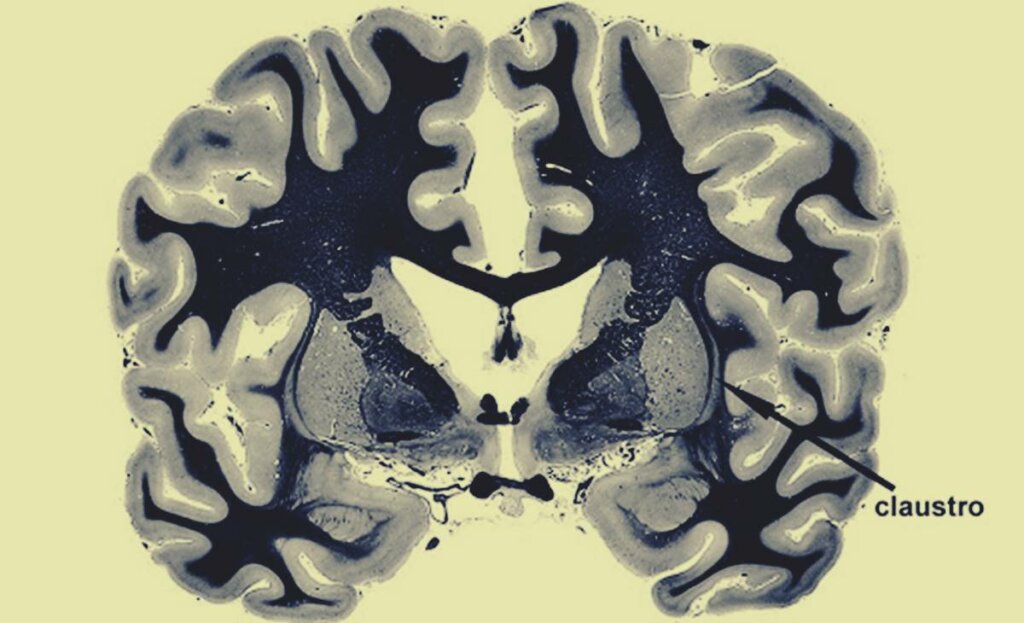
El claustro cerebral está justo debajo del neocórtex, una sustancia gris conformada por axones neuronales que nos permite procesar la información. Como sucede en múltiples estructuras cerebrales, el claustro es doble, es decir, hay uno por cada hemisferio y ambos se localizan justo a la altura de los oídos. Toda esta región está rodeada además por la sustancia blanca.
No ha sido hasta el 2020 cuando se han empezado a responder cuestiones sobre la función y la trascendencia de esta finísima área del cerebro. Si hasta el momento no se ha podido saber nada del claustro cerebral se debe a dos razones. La primera por su intrincada localización. La segunda porque muy pocos pacientes o animales de laboratorio han experimentado una lesión localizada en dicha área.
Ahora bien, las cosas ya han cambiado gracias a una novedosa ingeniería desarrollada en Japón. La investigación la ha llevado a cabo en el Instituto de Ciencias del Cerebro RIKEN en Japón y ellos han sido quienes, por fin, han desentrañado las funciones de claustro cerebral.
Lo han hecho gracias a una técnica llamada optogenética. Consiste en la combinación de métodos genéticos y ópticos para analizar las funciones de determinadas células de tejidos vivos. Se hace con una precisión absoluta y sin dañar ningún sistema biológico. Por tanto, veamos qué se ha descubierto del claustro cerebral.
La entrada a la consciencia
Los experimentos se han realizado con ratones. Lo primero que han podido observar los investigadores es que cuando se estimulan las neuronas del claustro, estas activan a su vez las neuronas inhibidoras de la corteza cerebral, y entonces todo el cerebro queda en silencio. Es lo que han denominado como “estado de depresión”, una experiencia similar a la que tenemos cuando dormimos, pero sin sueños.
El claustro cerebral se relaciona por tanto con la activación o desactivación de la consciencia. Es una experiencia en la que la mente consciente se apaga y la actividad eléctrica de las neuronas empieza a emitir ondas lentas. Este dato se relaciona con lo que teorizó ya el doctor Christof Koch en 2017 al ver que cómo una mujer con epilepsia se desmayó cuando se le estimuló precisamente esta área cerebral.
Estados de relajación y ondas lentas
La Universidad de Osaka en Japón también llevó a cabo a finales del 2020 sus propios estudios sobre el claustro. Así, cuando dormimos por la noche o simplemente cuando nos relajamos lo bastante, pero sin llegar a perder la consciencia del todo, esta región se activa.
El claustro cerebral coordina la generación de ondas lentas junto al neocórtex. Este tipo de ondas de menos de un hercio y con una amplitud relativamente alta lo que logran es sincronizar el cerebro por completo. Y en ese estado, lo que experimentamos es calma, equilibrio y desconexión del mundo consciente.
Asimismo, las ondas lentas, además de favorecer la homeostasis cerebral, nos permiten consolidar los recuerdos del período de vigilia. Por lo tanto, esta interesante estructura transfiere información y asienta las bases de la memoria a largo plazo.

El claustro cerebral, el eslabón perdido de la mente
Así es como han llamado las principales revistas especializadas al claustrum o claustro cerebral: el eslabón perdido de la mente humana. Se trata de esa pieza que nos faltaba por unir para comprender un poco más las maravillosas funciones de esta maquinaria perfecta que es el cerebro.
Ya en el 2005, el Premio Nobel de Medicina Francis Crick escribió un revelador artículo científico justo unos meses antes de fallecer. En ese trabajo anticipaba lo que, según él, era el claustro cerebral.
“Esta finísima región parece estar en una posición ideal para integrar los tipos más diversos de información que subyacen a la consciencia. Es sin lugar a dudas nuestro eslabón perdido”.
La verdad es que el doctor Crick no se equivocó. Ahora sabemos que además de regular los estados de consciencia e inconsciencia, también estaría relacionado con las funciones más decisivas del mundo consciente y, en concreto, con las funciones cognitivas superiores.
Tareas como el razonamiento, la memoria y la atención también estarían orquestadas por este pequeño maestro de ceremonias. A falta de más especificaciones, estamos seguros de que en los próximos meses conoceremos más datos de esta estructura extraordinaria.
Cuando ponemos la mirada en el cielo nocturno, nos atrae todo ese universo inexplorado de estrellas lejanas, constelaciones y planetas. Son mundos inexplorados, territorios jamás pisados y no comprendidos aún. El claustro cerebral produce en los científicos la misma sensación. Esta área del cerebro era, hasta no hace mucho, uno de los mayores misterios de la neurociencia.
Hablar del claustro es referirnos a una región rodeada de misterio. Esta pequeña y fina área alojada debajo de la neocórtex era, hasta no hace mucho, un desafío y también una cuenta pendiente. Porque los investigadores son persistentes, porque los amantes de la neurociencia no quieren ni pueden dejar nada al azar.
El hecho de que existiera un rincón del cerebro inexplorado ha levantado durante décadas una elevada expectación y abundantes teorías. Ahora bien, cabe señalar que esta singular estructura es de muy difícil acceso, tanto que ha sido necesario que la tecnología avanzara lo suficiente como para permitirnos llegar a esa intrincado punto del cerebro.
Hace solo unos meses en que por fin ha sido posible sondear la función claustral a nivel molecular, fisiológico y conductual. Estos son los datos que se han obtenido hasta el momento.

Claustro cerebral: localización y características
El claustro cerebral está justo debajo del neocórtex, una sustancia gris conformada por axones neuronales que nos permite procesar la información. Como sucede en múltiples estructuras cerebrales, el claustro es doble, es decir, hay uno por cada hemisferio y ambos se localizan justo a la altura de los oídos. Toda esta región está rodeada además por la sustancia blanca.
No ha sido hasta el 2020 cuando se han empezado a responder cuestiones sobre la función y la trascendencia de esta finísima área del cerebro. Si hasta el momento no se ha podido saber nada del claustro cerebral se debe a dos razones. La primera por su intrincada localización. La segunda porque muy pocos pacientes o animales de laboratorio han experimentado una lesión localizada en dicha área.
Ahora bien, las cosas ya han cambiado gracias a una novedosa ingeniería desarrollada en Japón. La investigación la ha llevado a cabo en el Instituto de Ciencias del Cerebro RIKEN en Japón y ellos han sido quienes, por fin, han desentrañado las funciones de claustro cerebral.
Lo han hecho gracias a una técnica llamada optogenética. Consiste en la combinación de métodos genéticos y ópticos para analizar las funciones de determinadas células de tejidos vivos. Se hace con una precisión absoluta y sin dañar ningún sistema biológico. Por tanto, veamos qué se ha descubierto del claustro cerebral.
La entrada a la consciencia
Los experimentos se han realizado con ratones. Lo primero que han podido observar los investigadores es que cuando se estimulan las neuronas del claustro, estas activan a su vez las neuronas inhibidoras de la corteza cerebral, y entonces todo el cerebro queda en silencio. Es lo que han denominado como “estado de depresión”, una experiencia similar a la que tenemos cuando dormimos, pero sin sueños.
El claustro cerebral se relaciona por tanto con la activación o desactivación de la consciencia. Es una experiencia en la que la mente consciente se apaga y la actividad eléctrica de las neuronas empieza a emitir ondas lentas. Este dato se relaciona con lo que teorizó ya el doctor Christof Koch en 2017 al ver que cómo una mujer con epilepsia se desmayó cuando se le estimuló precisamente esta área cerebral.
Estados de relajación y ondas lentas
La Universidad de Osaka en Japón también llevó a cabo a finales del 2020 sus propios estudios sobre el claustro. Así, cuando dormimos por la noche o simplemente cuando nos relajamos lo bastante, pero sin llegar a perder la consciencia del todo, esta región se activa.
El claustro cerebral coordina la generación de ondas lentas junto al neocórtex. Este tipo de ondas de menos de un hercio y con una amplitud relativamente alta lo que logran es sincronizar el cerebro por completo. Y en ese estado, lo que experimentamos es calma, equilibrio y desconexión del mundo consciente.
Asimismo, las ondas lentas, además de favorecer la homeostasis cerebral, nos permiten consolidar los recuerdos del período de vigilia. Por lo tanto, esta interesante estructura transfiere información y asienta las bases de la memoria a largo plazo.

El claustro cerebral, el eslabón perdido de la mente
Así es como han llamado las principales revistas especializadas al claustrum o claustro cerebral: el eslabón perdido de la mente humana. Se trata de esa pieza que nos faltaba por unir para comprender un poco más las maravillosas funciones de esta maquinaria perfecta que es el cerebro.
Ya en el 2005, el Premio Nobel de Medicina Francis Crick escribió un revelador artículo científico justo unos meses antes de fallecer. En ese trabajo anticipaba lo que, según él, era el claustro cerebral.
“Esta finísima región parece estar en una posición ideal para integrar los tipos más diversos de información que subyacen a la consciencia. Es sin lugar a dudas nuestro eslabón perdido”.
La verdad es que el doctor Crick no se equivocó. Ahora sabemos que además de regular los estados de consciencia e inconsciencia, también estaría relacionado con las funciones más decisivas del mundo consciente y, en concreto, con las funciones cognitivas superiores.
Tareas como el razonamiento, la memoria y la atención también estarían orquestadas por este pequeño maestro de ceremonias. A falta de más especificaciones, estamos seguros de que en los próximos meses conoceremos más datos de esta estructura extraordinaria.
Todas las fuentes citadas fueron revisadas a profundidad por nuestro equipo, para asegurar su calidad, confiabilidad, vigencia y validez. La bibliografía de este artículo fue considerada confiable y de precisión académica o científica.
- Baizer, J. S., Sherwood, C. C., Noonan, M., and Hof, P. R. (2014). Comparative organization of the claustrum: what does structure tell us about function? Front. Syst. Neurosci. 8:117. doi: 10.3389/fnsys.2014.00117
- Crick, FC y Koch, C. (2005). ¿Cuál es la función del claustrum ?. Transacciones filosóficas de la Royal Society de Londres. Serie B, Ciencias biológicas , 360 (1458), 1271-1279. https://doi.org/10.1098/rstb.2005.1661
- Deutch, A. Y., & Mathur, B. N. (2015, July 15). The Claustrum: Charting a way forward for the brain’s most mysterious nucleus. Frontiers in Systems Neuroscience. Frontiers Research Foundation. https://doi.org/10.3389/fnsys.2015.00103
- Narikiyo, K., Mizuguchi, R., Ajima, A., Shiozaki, M., Hamanaka, H., Johansen, J. P., ... & Yoshihara, Y. (2020). The claustrum coordinates cortical slow-wave activity. Nature Neuroscience, 1-13.
Este texto se ofrece únicamente con propósitos informativos y no reemplaza la consulta con un profesional. Ante dudas, consulta a tu especialista.







