Síndrome de cautiverio: vivir atrapado en el propio cuerpo


Escrito y verificado por la psicóloga Gema Sánchez Cuevas
El síndrome de cautiverio o de enclaustramiento es una patología poco frecuente causada por una lesión pontina bilateral. La repercusión de la lesión del puente es muy grave y hace que la persona no pueda mover su cuerpo, a excepción de los ojos y párpados. A pesar de perderse la movilidad casi por completo, la conciencia y el sistema somatosensorial quedan intactos.
Es como si el cerebro se “desconectara” del cuerpo y perdiera la capacidad de mandarle órdenes. Por el contrario, el cerebro sigue recibiendo todas las señales sensitivas como el dolor y la temperatura y también somáticas, como el hambre. La comunicación se hace casi imposible dada la incapacidad para mover los músculos orofonatorios y esta queda relegada al uso del movimiento de los párpados.
Existen casos en los cuales se ha conseguido una comunicación mediante el uso del parpadeo. Con un tablero en el que aparecen las letras del abecedario, la persona va escogiendo las letras de las palabras y frases que quiere formar. Es un método lento pero que ha podido dotar de “voz” a aquellos que la pierden fruto de este síndrome.
Síntomas, causas y pronóstico
El cuadro sintomático de esta patología es: tetraplejia, anartria (incapacidad para la articulación de la palabra) y conservación de la conciencia. Al no verse afectada ni la corteza cerebral ni el tálamo, las funciones cognitivas no se ven afectadas. El sujeto percibe, procesa y produce la información mediante la utilización de los procesos cognitivos con normalidad. Es capaz de percibir todos los estímulos externos, pero no de responder físicamente ante ellos.

La causa principal es la trombosis basilar, en la que puede haber síntomas premonitorios durante semanas e incluso meses antes, como vértigo y nauseas. Como causa no vascular se encuentra el traumatismo cranoencefálico, con la contusión del tronco cerebral o por disección vértobrobasilar. Según la severidad del compromiso motor se pueden distinguir tres cuadros clínicos:
- Clásico: cursa con tetraplejia y anartria con preservación de la conciencia y de la motilidad ocular o parpadeo.
- Incompleto: similar al clásico, pero conservando algún movimiento más que el ocular.
- Total: sin la preservación de ningún movimiento, suele ir acompañado de lesiones en el mesencéfalo.
Según la evolución puede ser transitorio o crónico. Aunque en los casos en los que se ha dado una desconexión de las vías descendentes procedentes del puente, la recuperación no es posible. La desconexión de las vías descendentes hace que no lleguen las ordenes enviadas al resto del cuerpo y en consecuencia, no pueda responder a ningún estímulo, aunque sí los reciba.
Medios para detectar el síndrome de cautiverio
Es lógico pensar la dificultad presente al detectar el síndrome de cautiverio y diferenciarlo de otras como el coma. Aunque en un primer momento no sea fácil conocer si las facultades mentales del paciente están intactas, ya que no puede comunicarse.
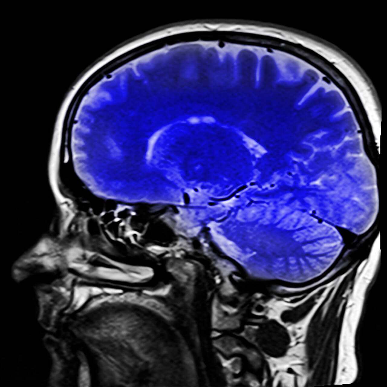
Existen pruebas neurológicas que ayudan al diagnóstico. La resonancia magnética puede mostrar el tipo de lesión cerebral que puede apuntar hacia el síndrome.
Tanto la tomografía por emisión de positrones (PET) como el electroencefalograma (EEG) pueden informar sobre la actividad cerebral. A través del PET se puede observar si el metabolismo cerebral es normal, si ese es el caso, significaría que las funciones cerebrales estarían conservadas y existe conciencia como en el citado síndrome.
A través del EEG se puede monitorizar la actividad de las ondas cerebrales. Colocando unos electrodos en la cabeza, esta herramienta permite determinar las ondas que predominan en el momento. En el caso de una persona que sufriera el síndrome de cautiverio, se encontraría un ritmo alfa posterior reactivo.
La mariposa y la escafandra
Jean-Dominique Bauby fue un periodista francés que sufrió a los 43 años una embolia cerebral. Tras permanecer unos 20 días en coma, Bauby despertó sufriendo el síndrome de cautiverio, solo era capaz de mover el ojo izquierdo y la cabeza ligeramente. Sufrió un gran deterioro físico perdiendo unos 27 kilos de peso en unas semanas.

El empeoramiento de la salud derivado de la embolia sufrida hizo que viviera con la enfermedad alrededor de un año. Durante el año que vivió “encerrado en su cuerpo” aprendió un método para comunicarse, con una tabla con el abecedario y mediante el parpadeo. Con la ayuda de logopedas y de su familia escribió un libro autobiográfico “La mariposa y la escafandra” que fue un éxito de ventas.
«¿Existen en el cosmos llaves que puedan abrir mi escafandra? ¿Una línea de metro sin final? ¿Una moneda lo bastante fuerte para comprar mi libertad? Hay que buscar en otra parte. Allá voy»
-Jean-Dominique Bauby-
También existe un película basada en su libro con el mismo nombre, en el que se puede observar el reto que supone para Jean-Dominique afrontar esta dura enfermedad y los pensamientos que le rondan la cabeza que su cuerpo no es capaz de expresar. Utiliza la imaginación y “viaja” a través de su mente a diferentes lugares que le hacen escapar de una realidad difícil de afrontar.
Este texto se ofrece únicamente con propósitos informativos y no reemplaza la consulta con un profesional. Ante dudas, consulta a tu especialista.