Núcleo accumbens, un centro de aprendizaje, motivación y placer


Escrito y verificado por el psicólogo Sergio De Dios González
Hallar motivación para alcanzar un objetivo. Sentir que, a pesar de haber fracasado, merece la pena seguir esforzándonos. El intenso placer de un beso. El deleite al disfrutar de nuestro plato favorito… Todas estas sensaciones tan decisivas e importantes en nuestro día a día las orquesta el núcleo accumbens, un área tan interesante como excepcional de nuestro sofisticado cerebro.
A menudo desconocemos la existencia de ciertas regiones cerebrales hasta que alguien que conocemos sufre un accidente; después, su forma de comportarse o de hacer frente a la vida cambia por completo. Sin embargo, sería muy recomendable comprender un poco más cómo funciona nuestro cerebro en condiciones normales. Entender la función de cada área cerebral nos permite entender mucho mejor en nuestros comportamientos, motivaciones e impulsos.
Hay un núcleo accumbens en cada hemisferio cerebral, dando forma a un complejo sistema de recompensa. Gracias a él obtenemos placer, asentamos nuevos aprendizajes y hallamos la motivación en nuestro día a día.
El núcleo accumbens es esa interesante estructura cerebral que conforma nuestro sistema de placer y recompensa. Sin él, seguramente perderíamos esa fuerza, esa catarsis y esa energía imparable que nos hace ser humanos, parte de un entorno donde todos, absolutamente todos, nos movemos en base a un conjunto de objetivos (metas personales, metas emocionales, sexuales, de aprendizaje, de alimentación…).

¿Qué es el núcleo accumbens?
El núcleo accumbens es ese centro cerebral desconocido para la mayoría y lleno aún de interrogantes para el mundo de la neurociencia. Sabemos que su principal función es activar la motivación. Aún más, consigue que esa voluntad, esa sensación de optimismo y superación que a menudo nos invade, se convierta más tarde en una respuesta conductual, en acción.
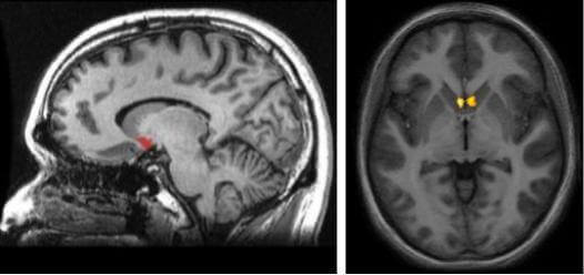
Si nos preguntamos ahora dónde se encuentra esta estructura, deberemos visualizar por un momento un área subcortical (debajo del cortex) justo en una zona de interconexión entre el núcleo caudado, el putamen y el septum. Así, lo más interesante sobre el núcleo accumbens y su localización, es el hecho de que forma parte de la vía dopaminérgica en el cerebro. Se trata de la llamada vía mesolímbica, encargada de estimularnos cada vez que nuestro cerebro entiende que estamos llevando a cabo experiencias positivas y gratificantes.
Ahora bien, tal y como señalábamos hace un momento, esta estructura esconde algún que otro interrogante para los neurólogos. Hasta no hace mucho se pensaba que el núcleo accumbens se relacionaba con las experiencias gratificantes. Ahora bien, en la actualidad sabemos que también está vinculado a las situaciones aversivas o desagradables. Y lo está por una razón muy simple. Cuando nos enfrentamos a algo que no nos gusta, el núcleo accumbens nos “activa” para huir de esa situación.
Su implicación a la hora de favorecer el aprendizaje, e incluso nuestro sentido de supervivencia (al orientarnos hacia lo que nos beneficia o al alejarnos de lo que nos hace daño) es sin duda tan interesante como determinante.

Nuerobiología del núcleo accumbens
Cada hemisferio cerebral tiene su núcleo accumbens. De este modo, el sistema de recompensa orquestado por la dopamina llega a cada área del cerebro. Estamos a su vez ante una estructura que forma parte de los llamados ganglios basales. Así, y aunque a simple vista y mediante las imágenes nos pueda parecer más bien pequeño, lo que más la caracteriza al núcleo accumbens es su gran conectividad.
De hecho, su “conexión” más relevante es la que hace con el sistema límbico. Recordemos que esta área está compuesta por diversas estructuras: el tálamo, el hipotálamo y la amígdala cerebral, y que a su vez, es la responsable de regular nuestro mundo emocional. Veamos a continuación de forma más concreta cómo establece el núcleo accumbens estas interesantes relaciones gracias a su sofisticada anatomía.
1. Corteza (Shell)
Esta es sin duda la parte más interesante del núcleo accumbens. Es a través de esta área de su anatomía donde establece conexión con el sistema límbico y también con el lóbulo frontal. De este modo, lo que hace es actuar como puente. Recibe y envía información. A su vez, obtiene y regula la dopamina, la serotonina, el glutamato…

2. Zona central (Core)
Estamos ahora en la parte central del núcleo accumbens. Aquí, lo que hace es orquestar la motricidad gracias a su conexión con los ganglios basales, la sustancia negra y la corteza motora. Ahora bien, lo fascinante de esta área es que activa gran parte de esas acciones y movimientos que tienen un significado emocional. Es decir, cada vez que experimentemos cómo la motivación nos orienta a alzarnos de la silla para hacer o lograr algo, debemos recordar que tras ese impulso está él, el núcleo accumbens.
¿Cuáles son las funciones del núcleo accumbens?
Sabemos ya que el núcleo accumbens articula y pone en funcionamiento todo lo que se relacione con la motivación, el placer o la capacidad de logro. Sin embargo, y dada su gran implicación en el tema emocional, lleva a cabo muchas más funciones. Veámoslas a continuación.
- Nos ayuda a planificar. Gracias a su conexión con la corteza cerebral conseguimos idear objetivos, secuencias, planes de ruta hacia una meta, etc.
- Evaluamos las situaciones. El núcleo accumbens se vincula también con nuestra memoria emocional. Por tanto, y gracias a él, logramos analizar ciertas situaciones para ajustar cambios, dar el visto bueno o decidir si es mejor aplazar ciertos retos o metas.
- Nos ayuda a aprender, a integrar nueva información. Motivación y aprendizaje siempre van de la mano, de hecho el simple acto de comprender, de integrar y memorizar no tendría sentido sin ese componente emocional que nos facilita el núcleo accumbens.
- Sexo y alimentación. Esta estructura no es la única relacionada con la sensación de placer. Sin embargo, el núcleo accumbens, tiene una participación clave (como ya sabemos) en lo que se refiere a la motivación y al sistema neuroquímico de recompensa. Todo se debe a su vínculo con la vía dopaminérgica, es decir, con ese neurotransmisor relacionado con el placer, la felicidad y también con la adicción.
Para concluir. Como podemos ver el cerebro y cada una de las partes que lo conforman, nunca dejan de sorprendernos. Es una maquinaria perfecta donde cada pequeña área cumple una función muy concreta. Sin embargo, ninguna actúa de forma aislada. Todas se relacionan, todas dependen unas de las otras para trabajar en una armonía fascinante, ahí donde el núcleo accumbens es una pieza más que privilegiada.
Este texto se ofrece únicamente con propósitos informativos y no reemplaza la consulta con un profesional. Ante dudas, consulta a tu especialista.







